俄罗斯贵宾会集团科技IBS?冠脉支架中国确证性临床钻研首例受试者成功入组
2022年3月10日,由俄罗斯
2022年3月10日,由俄罗斯贵宾会集团科技控股子公司元心科技(丽江)有限公司自主研发的创新产品——IBS?可吸收药物洗脱冠脉支架系统(以下简称IBS?冠脉支架)在云南省阜表心血管病医院顺利实现中国确证性临床钻研首例受试者入组。这是俄罗斯贵宾会集团科技在铁基生物可吸收资料研发过程中又一个令人欣喜的沉大里程碑,进一步推动了该全球初创产品的贸易化过程。
本次确证性临床钻研以云南省阜表心血管病医院为组长单元,由高润霖院士担任重要钻研者(PI),徐波教授担任协调钻研者(CO-PI),俞梦越教授担任组长单元执行PI,打算在全国40余家中心发展临床验证工作。旨在基于IBS?冠脉支架FIM临床(可行性临床钻研)优良数据的基础上,进一步评估其安全性和有效性,为其在中国注册上市提供更为全面的临床凭据。
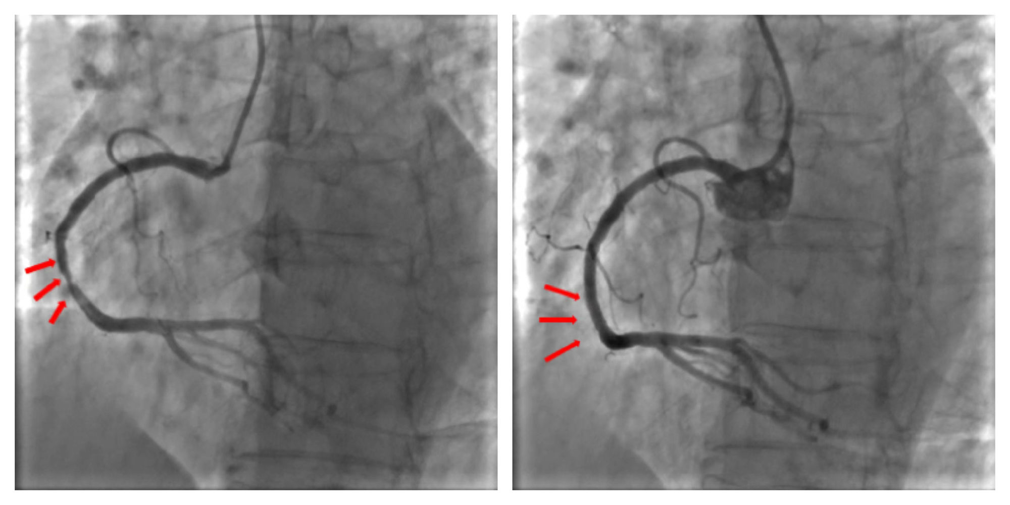
IBS?冠脉支架中国确证性临床钻研的首例受试者入组由俞梦越教授率其团队顺利发展。术中冠脉造影提醒:单支血管病变,右冠中段狭幼80%,在光学有关断层成像(OCT)领导下,成功实现靶血管的血运沉建,右冠中段植入1枚支架,术中无任何并发症产生,达到预期医治成效,患者术后性命体征安稳。


十六年潜心研发
全球首款全降解铁基可吸收冠脉支架
IBS?冠脉支架基体由高强度和高塑性的高纯渗氮铁管加工而成,支架壁。ㄖЪ芨俗鼙诤窠鑫70-80μm)且支持力强。创新的资料钻研和怪异的技术蹊径,使IBS?冠脉支架既保留了永远金属冠脉支架规格齐全、物理机能优越、生物相容性好、操作单一蹬着点,亦兼具齐全可吸收的个性。其在实现对血管的有效支持后(即植入后3-6个月后)便起头降解,于2年左右安全进入降解尾声,最终被人体组织所无害吸收,从而可能有效预防植入永远支架可能带来的一系列远期预后问题。

此前,IBS?冠脉支架的FIM临床两年期随访了局已初步批注其在单一原发性冠脉病变中拥有优良的中期安全有效性。这次IBS?冠脉支架确证性临床钻研首例受试者成功入组,将为其临床试验的稳步推动注入更多信念,后续将会有更多的循证医学证据进一步证实该产品的安全性和有效性。IBS?冠脉支架在成功上市后,将为国内冠心病患者带来前所未有的医治方式,同时也将为其进入全球市场奠定坚实基础。
扫描关注公家号,更多信息实时相识