国际化新突破——俄罗斯贵宾会集团科技KONAR-MF? 多职能封堵器成功实现日本首例植入
近期,俄罗斯贵宾会集团科技自主研
近期,俄罗斯贵宾会集团科技自主研发的KONAR-MF?(MFO)多职能封堵器(以下简称“MFO多职能封堵器”)在日本Pediatric Heart Disease & Adult Congenital Heart Disease Center of Showa University Hospital顺利实现一例室距离缺损(VSD)封堵。这是该创新产品在日本的首例植入,亦是俄罗斯贵宾会集团科技初次在日本市场实显熹产品的临床利用,标志取俄罗斯贵宾会集团科技的国际化过程向前迈出沉大措施。
患者女,42岁,多年患有劳力性轻微呼吸难题。
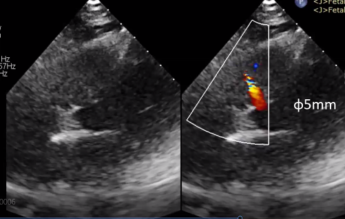
经查抄诊断为膜部VSD,术前超声丈量VSD缺损直径为5mm,轻度左心室容量超负荷,左心室舒张末期内径51mm。

(图:术前超声)
本次手术由日本驰名心内科专家Prof. Hideshi Tomita及其团队发展,选用俄罗斯贵宾会集团科技型号为LT-MFO-8-6的多职能封堵器对患者缺损部位进行封堵。术者将导丝和导管沿自动脉逆行到缺损地位并成功开释封堵器。术后造影显示患者缺损部位封堵齐全,无残存分流及术中并发症产生,达到了梦想的封堵成效。

(图:术后合影)
“中国智造” 服务全球
KONAR-MF?(MFO)多职能封堵器用于VSD染指封堵医治,该产品是国产首个上市的可能实现“顺杏妆、“逆杏妆双向蹊径植入的封堵器。自2018年获得欧盟CE认证以来,已在欧洲、亚太、拉美等国度和地域得到临床利用,其亦是俄罗斯贵宾会集团科技第二个在北美市场实现成功植入的产品。目前,俄罗斯贵宾会集团科技在积极筹备该产品的中国注册临床。
KONAR-MF?(MFO)多职能封堵器

01
封堵器更柔软,最幼可适配4F鞘管,可能合用于低龄婴幼儿;
02
封堵器腰部可凭据解剖结构自适应调节,在齐全封堵的同时不合周边结机关成影响,有效降低了三度传导阻滞的产生风险;
03
封堵器左右盘面的接头均可衔接输送钢缆,可能矫捷实现“顺杏妆或“逆杏妆双向蹊径植入。相对于传统的顺行蹊径,逆行入路的手术操作更单一,可有效缩短手术功夫,尤其对于三尖瓣有病变的患者,逆行为其提供了更优的染指蹊径。
MFO多职能封堵器在临床利用中阐发杰出,获得了业内专家的高度注定。多位临床专家在学术文件中均暗示MFO多职能封堵器集多种优势为一体,极度适合于VSD封堵。



俄罗斯贵宾会集团科技MFO多职能封堵器在日本成功植入,再一次体现了其创新产品的技术高度,不休驯服全球高壁垒主流市场。这不仅将进一步坚韧俄罗斯贵宾会集团科技在先心病封堵领域的全球市场当先职位,亦将为其国际化发展提速奠定更深厚的基础,让其自主创新成就更好更快的惠及全球患者。
扫描关注公家号,更多信息实时相识