åˆåŠ›å¥è¡Œï¼Œç™¾ç‚¼æˆé‡‘:俄罗斯贵宾会集团自动脉腔内整体解决规划若何创新将æ¥ï¼Ÿ
6月27日-29日,第22
6月27æ—¥-29日,第22届å和血管医å¦å¤§ä¼šæš¨ä¸å›½è¡€ç®¡å’Œè…”内血管大会(2024VEC)隆沉å¬å¼€ï¼Œå›½å†…表血管医å¦é¢†åŸŸçš„专家å¦è€…é½èšè¿™ä¸€è¡Œä¸šç››ä¼šï¼Œå°±è¡€ç®¡ç–¾ç—…ã€ä¸´åºŠè¯Šç–—技术与å‰çž»å¦æœ¯å‘展探求与互æ¢ï¼Œå…±åŒæè¿°è¡€ç®¡è…”内医治å‘展图景。
ä¼šè®®æœŸé—´ï¼Œä¿„ç½—æ–¯è´µå®¾ä¼šé›†å›¢ç§‘æŠ€æºæ‰‹å¤§ä¼šå…±åŒæŽ¨å‡ºã€åˆåŠ›å¥è¡Œï¼Œç™¾ç‚¼æˆé‡‘】ã€ã€å…ˆè§Â·E术家 è英èŸã€‘ã€ã€è‡ªåŠ¨è„‰è…”å†…å»ºå¤åˆ›æ–°ç—…例艺术展】ç‰ä¸€ç³»åˆ—æ°å‡ºå¦æœ¯æ´»åŠ¨ã€‚è¡Œä¸šå¤§å’–ä»¬çŽ°åœºèšç„¦ä¿„ç½—æ–¯è´µå®¾ä¼šé›†å›¢è‡ªåŠ¨è„‰è…”å†…æ•´ä½“è§£å†³è§„åˆ’ï¼Œè¿›è¡Œæ·±åº¦å¦æœ¯ä¸Žå®žé™…探求,现场概想碰撞,金å¥é¢‘出。
01.
å…ˆè§Â·E术家 åˆåŠ›å¥è¡Œï¼Œç™¾ç‚¼æˆé‡‘
è…”å†…æ²‰å»ºé«‚å†…åŠ¨è„‰é’»ç ”ä¼š
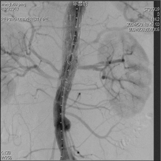
åˆåŠ›å¥è¡Œï¼Œç™¾ç‚¼æˆé‡‘。北京åå’ŒåŒ»é™¢è¡€ç®¡è¡¨ç§‘å›¢é˜Ÿåœ¨éƒ‘æœˆå®æ•™æŽˆæºå¸¦ä¸‹ï¼Œæ°é€¢å和建院101å‘¨å¹´ï¼Œå·²ç»æˆåŠŸåˆ©ç”¨ä¿„ç½—æ–¯è´µå®¾ä¼šé›†å›¢G-iliac创新IBD髂动脉分支支架,实现101ä¾‹é«‚å†…åŠ¨è„‰æ²‰å»ºç—…ä¾‹ã€‚ç™¾ä¾‹å¤æ‚病例的æˆåŠŸåŒ»æ²»ï¼Œå±•ç¤ºäº†åå’ŒåŒ»é™¢è¡€ç®¡è¡¨ç§‘å›¢é˜Ÿæ·±åŽšçš„å¦æœ¯åŸºç¡€å’Œé«˜æ˜Žçš„æ‰‹æœ¯æŠ€è‰ºï¼ŒåŒæ—¶ä¹Ÿæ‰¹æ³¨ï¼Œä¿„罗斯贵宾会集团G-iliac创新IBDé«‚åŠ¨è„‰åˆ†æ”¯æ”¯æž¶åœ¨é«‚å†…åŠ¨è„‰æ²‰å»ºæ‹¥æœ‰æ˜¾è‘—ä¼˜åŠ¿ï¼Œæ˜¯ç›®å‰æœ€æ¢¦æƒ³çš„解决规划。
在本次会议,约请到了G-iliac产å“领衔å‘现人éƒä¼Ÿæ•™æŽˆã€èµ„阳大å¦ç¬¬äºŒä»Žå±žåŒ»é™¢å‘¨ä¸ºæ°‘教授ã€å¤æ—¦å¤§å¦ä»Žå±žæ¦†æž—医院董智慧教授åŠåŒ—京åå’ŒåŒ»é™¢éƒ‘æœˆå®æ•™æŽˆåŠåˆ˜æš´æ•™æŽˆä½œä¸ºä¼šè®®ä¸»æŒï¼Œåå’ŒåŒ»é™¢éƒ‘æœˆå®æ•™æŽˆã€æ›¾åµ˜æ•™æŽˆå’ŒåŒ—京301åŒ»é™¢å¼ å®é¹æ•™æŽˆåˆ«ç¦»å°±G-iliac的临床实际åŠG-iliac与SilverFlow的利用ç»éªŒå’Œæ“作é‡ç‚¹è¿›è¡Œäº†åˆ†äº«ã€‚
éƒ‘æœˆå®æ•™æŽˆï¼šå›½äº§é¦–款IBDæ”¯æž¶çš„ä¸´åºŠç™¾ä¾‹åˆ©ç”¨æˆæ•ˆä¼˜å¼‚

ç›®å‰ï¼Œåœ¨å¤„ç½®20%到40%的腹自动脉瘤(AAAï¼‰å½’å¹¶é«‚åŠ¨è„‰ç˜¤çš„è¿œç«¯é”šå®šåŒºæ—¶ï¼Œæœ‰å¤šç§æ¥éª¤å¯ä¾›é€‰æ‹©ï¼Œè•´å«ææ¡¥ã€æ “塞ã€å–‡åè…¿æŠ€æœ¯å’Œçœ‰å±±æ²»ç‰æ¥éª¤ã€‚ç„¶è€Œï¼Œæœ€æ¢¦æƒ³çš„æ²‰å»ºé«‚å†…åŠ¨è„‰çš„æ–¹å¼æ˜¯ä½¿ç”¨åˆ†æ”¯æ”¯æž¶æŠ€æœ¯ï¼ˆIBDæŠ€æœ¯ï¼‰ï¼Œè¿™ç§æ¥éª¤æœ€åˆ‡åˆé«‚内动脉的解剖结构,并且å¯èƒ½æ˜¾è‘—æé«˜æ‰‹æœ¯æˆåŠŸçŽ‡ã€‚
北京å和医院在IBDï¼ˆé«‚åŠ¨è„‰åˆ†æ”¯æ”¯æž¶ï¼‰æŠ€æœ¯çš„åˆ©ç”¨ä¸Šå †é›†äº†ä¸°ç¡•çš„ç»éªŒã€‚åŒ»é™¢å·²ç»æˆåŠŸåœ°å°†é¦–æ¬¾åˆ¶å“化IBD支架G-iliac利用于101例患者,这些病例蕴å«è…¹è‡ªåŠ¨è„‰ç˜¤å½’å¹¶é«‚æ€»åŠ¨è„‰ç˜¤ã€å•纯髂总动脉瘤以åŠEVAR术åŽé«‚åŠ¨è„‰æ‰©å¼ çš„ç—…å˜ã€‚在这些病例ä¸ï¼Œæ²‰å»ºå•侧髂内动脉89例,沉建åŒä¾§é«‚内动脉12例,手术的å³åˆ»æˆåŠŸçŽ‡è¾¾100%,髂内动脉畅达率为97.3%。郑教授暗示,从å‰ä¸€å¹´ä¸IBDæŠ€æœ¯çš„åˆ©ç”¨èŽ·å¾—äº†ä»¤äººä¸æ„çš„æˆå°±ï¼Œæ‰‹æœ¯æˆåŠŸçŽ‡é«˜ï¼Œä¸”æ²¡æœ‰æœ¯ä¸å†…æ¼çš„产生。

俄罗斯贵宾会集团G-iliac支架æä¾›äº†ä¸¤ç§å…¥è·¯æ–¹å¼ï¼š1.肱动脉入路,它拥有挨次开释ã€ç»æµŽæ€§å¥½ã€æ˜“于超选髂内动脉蹬ç€ç‚¹ã€‚åŒæ—¶ï¼ŒæŠ€æœ¯é€‚应性高,在长鞘长度ä¸å®žæ—¶ï¼ŒSilverFlow髂内支架系统ä»èƒ½ç²¾å‡†è¾“é€è‡³æŒ‡æ ‡é«‚内动脉。2. å½“ä¸Šè‚¢å…¥è·¯å› æ‰æ›²æˆ–关塞而难题时,能够选择使用Fustarå¯è°ƒå¼¯éž˜è¿›è¡Œç¿»å±±å…¥è·¯æ²‰å»ºé«‚内动脉。在该ä¸å¿ƒçš„101例患者ä¸ï¼Œæœ‰52.6%选å–翻山入路沉建髂内动脉,并通过ä¸ä¼‘的技术创新和改进,使其å˜å¾—è¶Šå‘精准和便æ·ã€‚
éƒ‘æœˆå®æ•™æŽˆæœ€åŽæ€»ç»“路:国产首款IBD支架——G-iliacåœ¨äºšæ´²äººç¾¤ä¸æ˜¾ç¤ºå‡ºä¼˜è‰¯çš„适应性和有效性,å¯èƒ½æ»¡è¶³åˆ†æ§æ‚£è€…的医治需è¦ï¼Œé«‚内动脉沉建的蹊径矫æ·å¤šå˜ï¼Œç‰å¾…éšç€æŠ€æœ¯çš„ä¸ä¼‘è¿›å–和创新,这项技术将为更多的髂动脉瘤患者带æ¥å¥å…¨å’Œä½†æ„¿ã€‚
曾嵘教授:G-iliac&SilverFlow是分支沉建的最新选择


曾嵘教授介ç»äº†å›½å†…首款腔内沉建髂内动脉的产å“G-iliac&SilverFlow,åŒä¾§ç¿»å±±æ²‰å»ºåŒä¾§é«‚内动脉的实际ç»éªŒï¼Œä»–暗示G-iliac产å“è§„æ ¼åž‹å·é½å…¨ï¼Œæœ¯ä¸å¯çŸ«æ·é€‰æ‹©ï¼Œèƒ½æ»¡è¶³ç»å¤§éƒ¨ä»½ä¸´åºŠéœ€è¦ï¼›å¯¹å¤æ‚病例翻山入路方å¼ä¼˜åŠ¿æ˜¾è‘—ï¼Œå…±åŒFustarå¯è°ƒå¼¯éž˜è¾…助下翻山更方便,å¯ç¼©çŸæ‰‹æœ¯åŠŸå¤«å’Œå‰Šå‡æœ¯åŽå¹¶å‘ç—‡ã€‚åŒæ—¶ï¼ŒSilverFlowæ”¯æž¶æ‹¥æœ‰ä¼˜è‰¯çš„æŸ”é¡ºæ€§ï¼Œå‡ºæ ¼åˆç”¨äºŽå¤„ç½®æ‰æ›²ç—…å˜ï¼Œæ˜¯åˆ†æ”¯æ²‰å»ºçš„æœ€æ–°é€‰æ‹©ã€‚G-iliac支架是针对国人设计的贸易化产å“,多ç§å…¥è·¯è§£å‰–é™åº¦æ›´ä½Žï¼Œä½¿ç”¨æ›´ä¾¿æ·ã€‚
å¼ å®é¹æ•™æŽˆï¼šä¿„罗斯贵宾会集团自动脉腔内整体解决规划为世界æä¾›â€œä¸å›½æ™ºæ…§â€

å¼ å®é¹æ•™æŽˆå‡ºæ ¼åˆ†äº«äº†G-iliac&SilverFlow沉建髂内动脉的具体æ“作é‡ç‚¹ï¼Œé€šè¿‡åº¦æžåˆ†æ§é€‚应症和高难度病例,展示了IBD支架的有效性ã€å®‰å…¨æ€§å’Œä¸å˜æ€§ã€‚他强调,该产å“设计åˆç†ï¼Œåˆ‡åˆäºšæ´²äººçš„è§£å‰–å‰æï¼Œæ“作å•一,是ä¿ç•™é«‚å†…åŠ¨è„‰æ‚£è€…çš„æ¢¦æƒ³é€‰æ‹©ã€‚åŒæ—¶ï¼Œå¼ 教授具体解说了æ“作细节和当苦衷项,蕴å«IBDæ”¯æž¶çš„ç²¾ç¡®å®šä½æŠ€å·§ï¼Œä»¥åŠåœ¨ç©ºé—´å—陿ƒ…况下的支架沉建战术。

å¼ å®é¹æ•™æŽˆè¿˜ä»‹ç»äº†ä½¿ç”¨G-Branch结åˆG-iliac支架æˆåŠŸåŒ»æ²»ä¸–ç•Œé¦–ä¾‹å…¨è…”å†…å»ºå¤èƒ¸è…¹è‡ªåŠ¨è„‰å¤¹å±‚åŠ¨è„‰ç˜¤çš„ç—…ä¾‹ã€‚åœ¨5幼时内,æˆåŠŸæ²‰å»ºäº†è…¹è…”å¹²ã€è‚ 系膜上动脉ã€åŒè‚¾åŠ¨è„‰åŠåŒä¾§é«‚内动脉,实现了一期处置全腔内建å¤ã€‚术åŽ1å¹´çš„éšè®¿æ˜¾ç¤ºåˆ†æ”¯ç•…达。这一æˆåŠŸæ¡ˆä¾‹ä¸ºèƒ¸è…¹è‡ªåŠ¨è„‰å¤¹å±‚åŠ¨è„‰ç˜¤åŒ»æ²»æä¾›äº†ä¸€ç§å…¨æ–°çš„ã€æœ‰æ•ˆçš„ã€å¾®åˆ›å¼çš„“ä¸å›½è§„划â€ã€‚他暗示G-Branch支架在高度弯曲的情况下展示出æžä½³çš„æŸ”顺性,其2个内嵌åŠ2个表翻分支维æŒä¼˜è‰¯çš„畅达性,也进一æ¥è¯äº†ç„¶G-iliac支架在髂动脉夹层医治ä¸çš„åˆç”¨æ€§å’Œä¼˜åŠ¿ã€‚


会商环节,ç¦å»ºåŒ»ç§‘大å¦ä»Žå±žç¬¬ä¸€åŒ»é™¢æˆ´è´»æƒæ•™æŽˆã€åŒ—京交谊医院冯海教授ã€ä¸Šæµ·å¸‚第一人民医院åŸåº†å‹æ•™æŽˆã€è¥¿è—è‡ªæ²»åŒºäººæ°‘åŒ»é™¢æ™®å¸ƒæ¬¡ä»æ•™æŽˆã€æ²³åŒ—çœäººæ°‘医院石晓明教授ã€èµ¤å³°å¸‚第四人民医院å™å®åŽæ•™æŽˆã€æ˜é€šåŒ»ç§‘大å¦ä»Žå±žç¬¬ä¸€åŒ»é™¢çŽ‹æµ·æ´‹æ•™æŽˆã€æ¸…åŽå¤§å¦ä»Žå±žåŒ—京清åŽé•¿åºšåŒ»é™¢å´å·å·æ•™æŽˆã€èµ¤å³°å¸‚åŒ»é™¢æ¨æŸ³æ•™æŽˆã€é¦–都医科大å¦ä»Žå±žåŒ—京安贞医院æ¨è€€å›½æ•™æŽˆã€é˜œè¡¨åŽä¸å¿ƒè¡€ç®¡ç—…åŒ»é™¢çŽ‹å›½æƒæ•™æŽˆã€ä¿¡é˜³å¸‚立医院周大勇教授ã€å¤§è¿žåŒ»ç§‘大å¦ä»Žå±žç¬¬ä¸€åŒ»é™¢äº“明教授ç‰ä¸“家分享了他们使用制å“化IBD支架的ç»éªŒï¼ŒIBD支架一体化设计,有效预防了内æ¼ç‰é—®é¢˜ï¼Œæä¾›äº†æ›´å¥½çš„临床了局和使用感触,与会专家共划一待国产IBD支架å¯èƒ½æŒç»æ”¹è¿›ï¼Œå¹¶å †é›†æ›´å¤šä¸´åºŠæ•°æ®ï¼Œä»¥æ›´å¥½åœ°æœåŠ¡äºŽæ‚£è€…ã€‚
éƒä¼Ÿæ•™æŽˆæ€»ç»“:

“髂内动脉沉建技术已ç»ä»Žæ—©æœŸçš„å¤šæ ·åŒ–å¤æ‚æ¥éª¤ï¼Œé€æ¥æ¼”è¿›åˆ°å¦‚ä»Šæ›´è½»ä¾¿ã€æ›´ä¸“业的支架产å“。这一技术趋åŒä¸ä»…显著æå‡äº†æ‰‹æœ¯çš„æ•ˆèƒ½å’Œå®‰å…¨æ€§ï¼Œä¹Ÿæžå¤§åœ°ç®€åŒ–了医生的æ“作æµç¨‹ã€‚
在这个过程ä¸ï¼Œä¼ä¸šçš„䏿‡ˆè‡´åŠ›å’Œåˆ›æ–°å¿ƒçµé˜æ‰¬äº†è‡³å…³æ²‰è¦çš„作用。他们通过æŒç»çš„æŠ€æœ¯ç ”å‘,为医疗领域带æ¥äº†æ›´ä¸ºç²¾å¯†å’Œé«˜æ•ˆçš„器械,æžå¤§åœ°åŠ©åŠ›äº†æ‰‹æœ¯æŠ€æœ¯çš„æ”¹é©ã€‚
我对明年å³å°†ä¸Šå¸‚的全腔内沉建内è„区的G-Branch支架充斥ç‰å¾…,这款创新产å“ä¸ä»…预示ç€åŒ»ç–—技术的新高度,更将显著æå‡æ‚£è€…çš„åŒ»æ²»æˆæ•ˆã€‚éšç€è¿™ç±»åˆ›æ–°äº§å“çš„ä¸ä¼‘涌现,我们有ç†ç”±ç›¸ä¿¡ï¼Œæ•´ä¸ªåŒ»ç–—行业将迎æ¥è¶Šå‘辽阔的å‘展远景。â€
02.
å…ˆè§Â·E术家 è英èŸ
èšç„¦è‡ªåŠ¨è„‰å†…è…”åˆ†æ”¯æ²‰å»º
è英èŸèšï¼Œæ€æƒ³ç¢°æ’žã€‚
å…ˆè§Â·E术家第19期èè‹±èŸæ´»åЍèšç„¦ã€è‡ªåŠ¨è„‰å†…è„åˆ†æ”¯æ²‰å»ºã€‘ï¼Œçº¦è¯·åˆ°åŒ—å¤§äººæ°‘åŒ»é™¢çš„å¼ å¦æ°‘教授以åŠå¤§è¿žåŒ»ç§‘大å¦ä»Žå±žç¬¬äºŒåŒ»é™¢çš„æŽç£Šæ•™æŽˆåˆ†äº«ç—…ä¾‹ï¼Œéƒ‘æœˆå®æ•™æŽˆä¸ºä¼šè®®ä¸»å¸ï¼Œå´å·å·æ•™æŽˆã€å‘¨ä¸ºæ°‘教授ã€é™ˆè·ƒé‘«æ•™æŽˆã€å”幼斌教授ã€å¶å¿—东教授ã€åˆ˜æš´æ•™æŽˆä¸ºä¼šè®®ä¸»æŒï¼Œå…±åŒæŽ¢æ±‚胸腹自动脉病å˜çš„医治战术。


å¼ å¦æ°‘æ•™æŽˆï¼šè‡ªåŠ¨è„‰å‡æ€§åŠ¨è„‰ç˜¤åŒ»æ²»ï¼Œä¿„ç½—æ–¯è´µå®¾ä¼šé›†å›¢Ankura是首选

å¼ å¦æ°‘教授分享了一例内è„åŒºè‡ªåŠ¨è„‰å‡æ€§åŠ¨è„‰ç˜¤çš„åŒ»æ²»è¿‡ç¨‹ï¼›é¢Šå²ï¼Œ63å²ï¼Œè¯Šæ–为内è„åŒºå‡æ€§åŠ¨è„‰ç˜¤ï¼Œç—…å˜éƒ¨ä½ç´¯åŠå†…è„分支开å£ã€‚为;ã“烈ç§ä»¥ã—æ»¥è¯¼â”Žï¼Œå¼ å¦æ°‘教授选å–预开窗结åˆå†…分支技术沉建内è„分支,器械选用俄罗斯贵宾会集团Ankura 24080, VB 5*50mm,VB 6*50mm, VB 8*50mm。术åŽé€ å½±ï¼Œå‡æ€§åŠ¨è„‰ç˜¤é½å…¨æ–ç»ï¼Œå†…è„åˆ†æ”¯ç•…è¾¾ã€‚å¼ å¦æ°‘教授指出,Ankura支架å¯åœ¨ä½“内调整,确ä¿åŽŸä½å¼€çª—å£ä¸Žè‚¾åŠ¨è„‰åˆ†æ”¯å¯¹å‡†ã€‚åŒ—äº¬å和医院陈跃鑫教授暗示,俄罗斯贵宾会集团Ankura支架易于回装,是内è„分支沉建以åŠå¤æ‚病例的首选。

å‡å¹¼å†…æ¼é£Žé™©ï¼Œç¼VBå†…åˆ†æ”¯ï¼ˆåŒæ–œé¢ï¼‰

æœ€ç»ˆé€ å½±ï¼Œå†…è„åŒºå‡æ€§åŠ¨è„‰ç˜¤é½å…¨æ–ç»
æŽç£Šæ•™æŽˆï¼šä¿„罗斯贵宾会集团IBD支架四分支沉建腹自动脉瘤,临床利用优异

æŽç£Šæ•™æŽˆå…·ä½“介ç»äº†ä¸€ä¾‹IBDæ”¯æž¶å››åˆ†æ”¯æ²‰å»ºå¤æ‚腹自动脉瘤病例;颊å£è¡Œï¼Œ69å²ï¼Œæ—¢å¾€è¡ŒTEVARåŠEVAR,诊æ–为自动脉内è„四分支区巨大动脉瘤(直径76.5mm),原腹主覆膜支架裸支架脱è½ï¼Œèƒ¸è‡ªåŠ¨è„‰æ‰æ›²ï¼Œé«‚åŠ¨è„‰æ‰æ›²ã€‚æŽç£Šæ•™æŽˆæ‹Ÿå®šçš„æ‰‹æœ¯æˆ˜æœ¯ä¸ºï¼šä»¥åŽŸèƒ¸ä¸»æ”¯æž¶è‚‡å§‹ç«¯ä¸ºè…¹ä¸»æ”¯æž¶è¿‘ç«¯é”šå®šåŒºï¼Œè…¹ä¸»æ”¯æž¶ä¸¤ä¾§åˆ†æ”¯æŽ¥IBD支架,两个IBD支架别离沉建åŒè‚¾åŠ¨è„‰ã€è…¹è…”å¹²å’Œè‚ ç³»è†œä¸ŠåŠ¨è„‰ï¼Œè¶…é€‰åˆ†æ”¯æ”¾å…¥å¹¼è¦†è†œæ”¯æž¶ä¸ŽIBD支架远端桥接。


刷新åŒä¾§IBD支架,在分支对侧上方开å£å¹¶ç¼åˆVB支架
器械选用腹自动脉支架32*16*145,G-iliac 1612*80*150,G-iliac 1612*60*130,VB 7*50,VB 8*50,VB 10*100,SilverFlow PS-C-10080XL,SilverFlow PS-C-12060XL。

术ä¸è‚¾åŠ¨è„‰èµ°è¡Œæ‰æ›²ä¸”ç‹å¹¼ï¼Œè¶…选难题,在Fustarå¯è°ƒå¼¯éž˜çš„辅助下,实现超选。IBD显影点清澈便于对ä½ï¼Œæ”¯æž¶æŸ”顺性较好,节ä¿äº†æ‰‹æœ¯åŠŸå¤«ã€‚
术åŽé€ 影,内è„四分支血æµç•…è¾¾ï¼Œæ— å†…æ¼ã€‚
回首这次四分支沉建手术,对比手工ç¼çª—所致的轻微渗æ¼ï¼ŒæŽç£Šæ•™æŽˆæš—示,G-iliac(IBD)自带的分支有效削å‡äº†ç—…æ‚£æ¼è¡€çš„风险。æ¤è¡¨ï¼ŒG-iliacå’ŒSilverFlowè§„æ ¼åž‹å·é½å…¨ï¼ŒæŸ”顺性好,宽泛适é…多ç§ä¸´åºŠåœºæ™¯ï¼Œä¸ºåˆ†æ§çš„自动脉疾病医治æä¾›äº†æ›´ä¸ºå¤šæ ·çš„选择。
现场会商çƒçƒˆï¼ŒæŽç£Šæ•™æŽˆåœ¨è¿™æ¬¡æ‰‹æœ¯ä¸æ‰€å±•示的精湛技艺和å“è¶Šæˆå°±ï¼Œèµ¢å¾—了多多会商专家的高度评价和一致认å¯ã€‚åŒæ—¶ï¼Œä¼šè®®ä¸»æŒå¶å¿—ä¸œæ•™æŽˆä¸Žåˆ˜æš´æ•™æŽˆæŒ‡å‡ºï¼Œåœ¨å¤æ‚多分支沉建病例ä¸ï¼Œä½¿ç”¨ç»Ÿä¸€å“牌器械匹é…ç»„åˆæˆæ•ˆæ›´ä½³ï¼Œå¯é¢„防出现分æ§å™¨æ¢°çš„mismatch,俄罗斯贵宾会集团自动脉腔内整体解决规划æä¾›å®Œæ•´çš„解决规划,在处置æ¤ç±»å¤æ‚病例上更有优势。
在场专家对先è§Â·E术家-è英èŸç³»åˆ—活动èµä¸Žäº†é«˜åº¦æ³¨å®šï¼Œå…ˆè§Â·E术家活动构建起病例会商的桥æ¢ï¼Œè½¬è®©ä¼šè€…能够身临其境,åƒäº²è‡ªæŸ¥æˆ¿ä¼šå•†ä¸€æ ·æ·±åº¦è§£æžç—…ä¾‹ï¼ŒåŒæ—¶å¯ä»Žä¸æ”¶æˆæ¥è‡ªåˆ†æ§åŒ»é™¢ä¸“家的分æ§è§†è§’,对ç»éªŒçš„å †é›†ä¸ŽæŠ€è‰ºçš„æå‡å¤§æœ‰è„¾ç›Šã€‚è¿™ç§å……åˆ†çš„å¦æœ¯ä¼šå•†ä¸ºè¡€ç®¡è…”内医治技术和器械的å‘展创新æä¾›äº†æ— é™å¯èƒ½ã€‚
03.
俄罗斯贵宾会集团 x VEC
E术家自动脉腔内建å¤åˆ›æ–°ç—…例艺术展
本次大会,俄罗斯贵宾会集团和VEC大会强强åˆä½œï¼Œç»“åˆè¿›è¡Œäº†â€œå手E术家â€è‡ªåŠ¨è„‰è…”å†…å»ºå¤åˆ›æ–°ç—…例艺术展,惊艳亮相VEC会场。
110+幅病例ã€90+ä½ä¸“å®¶æ–‡ç« ï¼Œå¯‚ä»”å¤šå¹´éšè®¿çš„ç»å…¸ç—…例,也有技术创新的利用范例;沉浸å¼E术空间,将æ¯ä¸€å¹…ç»å…¸ç—…例背åŽçš„åŒ»æœ¯ã€æŠ€æœ¯ã€å¦æœ¯ã€è‰ºæœ¯æ´»æ³¼å‡ºçŽ°ã€‚ä¸€åœºè¡€ç®¡è…”å†…åŒ»æ²»çš„åŒ»è‰ºèžåˆç”»å·åœ¨å¤§ä¼šä¼šåœºç¼“缓å‘展,ä¸ä»…å…¨é¢å±•示了俄罗斯贵宾会集团自动脉腔内整体解决规划的精妙之处,更是将ä¸å›½è¡€ç®¡è¡¨ç§‘医生出神入化的技艺展示的淋漓尽致。
04.
俄罗斯贵宾会集团创新产å“临床利用èŸèƒ
创新产å“çš„ç»å…¸ä¸´åºŠåˆ©ç”¨æˆ˜æœ¯
多场景ã€å¤šç»´åº¦ã€‚
å…¨é¢è§£æžä¿„罗斯贵宾会集团自动脉腔内整体解决规划的临床利用战术。
王海洋教授:髂内动脉沉建,俄罗斯贵宾会集团G-iliacé«‚åŠ¨è„‰åˆ†å‰æ”¯æž¶æ›´å…·ä¼˜åŠ¿

æ˜é€šåŒ»ç§‘大å¦ä»Žå±žç¬¬ä¸€åŒ»é™¢çŽ‹æµ·æ´‹æ•™æŽˆåœ¨ä¼šè®®ä¸åˆ†äº«ã€Šåˆ†æ§å™¨æåœ¨é«‚内动脉沉建的曲直比力》,展示了近期2例医治ç»éªŒã€‚王教授指出,对比IBE,俄罗斯贵宾会集团G-iliacé«‚åŠ¨è„‰åˆ†å‰æ”¯æž¶ï¼Œåž‹å·é½å…¨ï¼Œæ“作å•一,沉建髂内动脉安全有效,切åˆå›½äººè¡€ç®¡è§£å‰–状æ€ï¼Œå¯ç¿»å±±æˆ–者肱动脉入路,å¯åº”对å¤ç«‹æ€§é«‚总动脉瘤ã€å›½äººé«‚总çŸçš„æ‚£è€…ä¿é«‚内需è¦ã€‚

最åŽï¼ŒçŽ‹æµ·æ´‹æ•™æŽˆå¯¹æŽˆè¯¾è¿›è¡Œäº†æ€»ç»“ï¼šå•†å“化IBD支架是更为梦想的腔内沉建髂内动脉解决规划。
åˆ˜æ˜æ•™æŽˆï¼šä¿„罗斯贵宾会集团Ankuraç³»åˆ—æ”¯æž¶æœ‰æ•ˆåŒ»æ²»å¤æ‚胸腹自动脉瘤病å˜

æ¼¯æ²³é¼“æ¥¼åŒ»é™¢åˆ˜æ˜æ•™æŽˆè¿›è¡Œäº†ä¸»é¢˜è®²è¯ã€Šå¤šåˆ†æ”¯æ”¯æž¶åœ¨èƒ¸è…¹è‡ªåŠ¨è„‰ç˜¤çš„éšè®¿äº†å±€ã€‹ï¼Œä»‹ç»äº†è¿‘å‡ å¹´èƒ¸è…¹ä¸»å¤šåˆ†æ”¯å¼€çª—çš„æ‰‹æœ¯æ¥éª¤ã€å½“苦衷项åŠè§£å†³æ³•å,展示了一系列利用俄罗斯贵宾会集团产å“Ankura胸自动脉支架多分支开窗进行的æžå¤æ‚æ¡ˆä¾‹ï¼Œåˆ˜æ˜æ•™æŽˆæš—示,俄罗斯贵宾会集团Ankuraæ”¯æž¶æ”¯æŒæ€§å¥½ï¼Œä½“è¡¨å¼€çª—æ˜“å›žè£…ï¼Œæ˜¾å½±ç‚¹æ¸…æ¾ˆï¼Œå¯¹å¤æ‚病例拥有æ“作简æ´ã€æˆåŠŸçŽ‡é«˜ã€å¹¶å‘症少蹬ç€ç‚¹ã€‚
05.
å…ˆè§Â·E创空间
医工é¢å¯¹é¢ï¼Œç¢°æ’žæ–°æ€è·¯
â€œä»Žä¸´åºŠä¸æ¥åˆ°ä¸´åºŠä¸åŽ»â€ï¼Œè¿™æ¬¡2024VECçŽ°åœºï¼Œä¿„ç½—æ–¯è´µå®¾ä¼šé›†å›¢ç ”å‘工程师们与医生专家é¢å¯¹é¢äº’æ¢éš¾ç‚¹ã€é‡ç‚¹ã€å µç‚¹ï¼Œå°†æŠ€æœ¯åˆ›æ–°è½å®žäºŽæ¯ä¸€ä¸ªçŽ¯èŠ‚ä¸Žæ¯ä¸€å¤„细节,推动产医èžåˆåˆ›æ–°ä¸‹çš„高质é‡å‘展。
2024VECè½ä¸‹å¸·å¹•,医疗创新,俄罗斯贵宾会集团æ¥å±¥ä¸€å‘。将æ¥ï¼Œä¿„罗斯贵宾会集团将æŒç»æºæ‰‹è¡Œä¸šä¸“家,为更多性命æä¾›è‡ªåŠ¨è„‰è…”å†…æ•´ä½“è§£å†³è§„åˆ’ï¼Œå…±åŒåŠ©åŠ›è¡€ç®¡è…”å†…åŒ»æ²»åˆ›æ–°å‘展。

-
俄罗斯贵宾会集团科技é¢å¸ƒ2024年䏿œŸä¸šç»©ï¼šå›½é™…业务增长三æˆï¼Œæ‰£éžå½’æ¯å‡€åˆ©æ¶¦çއ35.8%
-
乘“å°â€æœ‰æ—¶ æŽ¢æ— ç»ˆç‚¹ | 俄罗斯贵宾会集团3L Smartåˆé—´ä¸“题会于22届心房抖动论å›é¡ºåˆ©è¿›è¡Œï¼
扫æå…³æ³¨å…¬å®¶å·ï¼Œæ›´å¤šä¿¡æ¯å®žæ—¶ç›¸è¯†