里程碑
G-Branch?全国多中心注册临床(GUARANTEE Study)首例入组圆满成功
日前,俄罗斯贵宾会集团科技自主研发的G-Branch?胸腹自动脉覆膜支架系统(以下简称“G-Branch?”)正式启动中国多中心注册临床试验(GUARANTEE Study,注册号:NCT05054985)。该临床试验由解放军总医院第一医学中心血管表科郭伟教授担任重要钻研者(PI),以评估G-Branch?胸腹自动脉覆膜支架系统医治胸腹自动脉瘤的安全性和有效性。
11月12日,郭伟教授及其团队成功实现首例受试者入组,目前患者已顺利出院。这是临床医生和研发团队多年缜密合作,在该产品的临床利用上获得的又一沉大里程碑。它将扭转我国胸腹自动脉瘤的医治近况,标志取我国全腔内沉建内脏动脉分支血管的新技术、新器械向前迈进了突破性的一大步。

匠心研发
单一高效的内脏分支沉建解决规划
胸腹自动脉瘤是殒命率极高的疾病,其发病率约占全数自动脉瘤样扩张病变的7%-15%,如未实时医治,2年和5年殒命率别离为约76%和95%[1]。由于胸腹自动脉瘤病变领域累及广且处置复杂,涉及到胸腔、腹腔以及胸腹结合部位的沉要内脏分支的腔内沉建,是EVAR/TEVAR等腔内技术面对的沉大挑战。
选取传统怒罢休术医治胸腹自动脉瘤通常必要胸腹结合隐语,创伤大,内脏动脉沉建复杂,心肺并发症高,殒命率高,并且患者预后与术者的纯熟水平亲昵有关。目前在中国,全腔内医治胸腹自动脉瘤的技术尚未齐全发展。
基于亟待满足的临床医治需要,俄罗斯贵宾会集团科技与郭伟教授历经数年索求改进,共同研发了G-Branch?,用于胸腹自动脉瘤全腔内建复,该产品的研发问世,添补了我国在该医治领域的空缺。同时,由于该产品卓越的创新性,2021年11月9日获批进入国度药品监督治理局“创新医疗器械出格审查法式”(绿色通路)。
G-Branch?主体支架蕴含2个内嵌分支和2个表翻分支,可在齐全微创腔内技术下进行分支血管沉建,维持各脏器持续血供。这一创新设计,有效降低了内漏产生风险以及手术操作难度。同时,G-Branch?适应症宽泛,可用于解剖结构更为复杂的病例,其主体支架的近、远端均可针对病变地位情况进行耽搁,其配套的表周支架可合用于分歧直径的内脏分支,从而满足分歧的临床医治需要,为胸腹自动脉瘤的多分支腔内沉建这一国际性难题提供了矫捷有效的解决规划。
此前,G-Branch? 的FIM临床钻研已顺利实现。术后六个月及术后一年的随访了局均显示:受试者状态优良,未产生内漏、支架移位及分支血管狭幼或关塞,初步证了然G-Branch?医治胸腹自动脉瘤的安全性和有效性。

临床利用
开启腔内沉建内脏分支动脉新时期
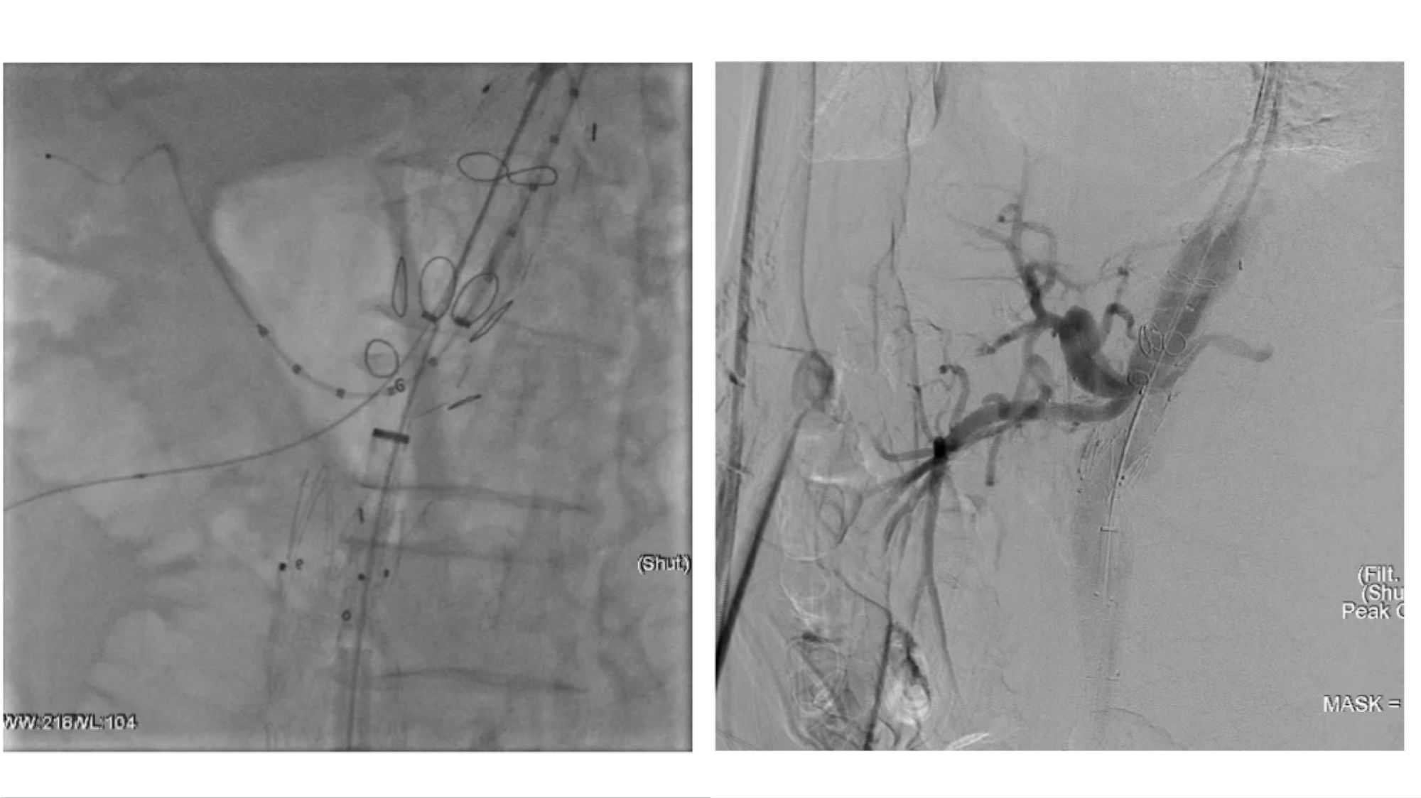
首例受试者入组病例介绍
患者男,71岁,EVAR术后I型内漏,腹痛1月余,胸腹自动脉瘤预兆分裂
既往史:
EVAR术+肾动脉烟囱支架植入术后5年,高血压病史10年,冠心病20余年,肾职能不全

手术战术:
使用G-Branch?胸腹自动脉覆膜支架系统耽搁近端锚定区,腔内沉建腹腔干、肠系膜上动脉及双肾动脉。
手术过程:

腔内沉建腹腔干和肠系膜上动脉

腔内沉建右肾和左肾动脉
(右肾开口处沉度狭幼,左肾烟囱支架术后增长了手术难度)
术后造影及出院前随访:
患者胸腹自动脉瘤断绝齐全,支架地位及状态优良,各分支动脉沉建后血流畅达,无内漏产生。

术后点评:
术后,郭伟教授暗示:“该患者为胸腹自动脉瘤预兆分裂脊仫入院,既往EVAR术+肾动脉烟囱支架植入,肾动脉开口狭幼、病情危沉,手术难度大。在脊仫情况下利用G-Branch?实时沉建了内脏动脉和肾动脉,让因I型内漏引起的濒临分裂的动脉瘤实时得到救治,这彰显了G-Branch非定造设计的优越性。混合内嵌分支设计理想的优越性在这例病变中得到了很好的出现,在建复动脉瘤的同时最大化削减自动脉覆盖,从而有效降低截瘫并发症的产生风险。”
目前,内脏分支动脉的腔内沉建是胸腹自动脉瘤微创医治的技术高地,也是充斥挑战的国际性难题。G-Branch? 胸腹自动脉覆膜支架系统的利用,为该难题提供了更为优良的解决规划,标志取我国在该领域已达到国际当先水平。随着国内多中心注册临床的稳步推动,将来将会有更多循证医学证据予以支持该腔内沉建内脏动脉分支血管的新技术、新步骤,并等待其可能早日让中国患者获得更大临床受益。
受试者招募
适应症:诊断为胸腹自动脉瘤的患者。
重要入选尺度
(1)18到80周岁,性别不限;
(2)诊断为胸腹自动脉瘤的患者。
重要排除尺度
(1)6个月内有急性冠脉综合征病史的患者;
(2)3个月内有短暂性脑缺血产生(TIA)或缺血性脑卒中的患者;
(3)肝肾职能异常的患者[谷丙转氨酶(ALT)或谷草转氨酶(AST)>正常上限值5倍;血清肌酐(Cr)>150umol/L];
(4)打算怀杂注怀胎期或哺乳期女性;
(5)参与了其它临床试验的患者。
风险及保险
(1)若是切合入组,免费提供胸腹自动脉覆膜支架系统用于手术医治;
(2) 与钻研有关的查抄用度免费提供;
(3)本钻研提供肯定的交通补助,在实现术后一年随访时提供;
(4)本钻研已为受试者采办保险。
参考文件
DAVID J K, BORNSTEIN S S, MYERS L G J P. Abdominal aortic aneurysm[J]. Proceedings, 2000, 13(1): 89.